MRI (brain tumor) image processing and segmentation, skull removing
An answer to this question on Stack Overflow.
Question
I need help for image segmentation. I have a MRI image of brain with tumor. I need to remove cranium (skull) from MRI and then segment only tumor object. How could I do that in python? with image processing. I have tried make contours, but I don't know how to find and remove the largest contour and get only brain without a skull. Thank's a lot.
def get_brain(img):
row_size = img.shape[0]
col_size = img.shape[1]
mean = np.mean(img)
std = np.std(img)
img = img - mean
img = img / std
middle = img[int(col_size / 5):int(col_size / 5 * 4), int(row_size / 5):int(row_size / 5 * 4)]
mean = np.mean(middle)
max = np.max(img)
min = np.min(img)
img[img == max] = mean
img[img == min] = mean
kmeans = KMeans(n_clusters=2).fit(np.reshape(middle, [np.prod(middle.shape), 1]))
centers = sorted(kmeans.cluster_centers_.flatten())
threshold = np.mean(centers)
thresh_img = np.where(img < threshold, 1.0, 0.0) # threshold the image
eroded = morphology.erosion(thresh_img, np.ones([3, 3]))
dilation = morphology.dilation(eroded, np.ones([5, 5]))
These images are similar to the ones I'm looking at:
Thanks for answers.
Answer
Preliminaries
Some preliminary code:
%matplotlib inline
import numpy as np
import cv2
from matplotlib import pyplot as plt
from skimage.morphology import extrema
from skimage.morphology import watershed as skwater
def ShowImage(title,img,ctype):
plt.figure(figsize=(10, 10))
if ctype=='bgr':
b,g,r = cv2.split(img) # get b,g,r
rgb_img = cv2.merge([r,g,b]) # switch it to rgb
plt.imshow(rgb_img)
elif ctype=='hsv':
rgb = cv2.cvtColor(img,cv2.COLOR_HSV2RGB)
plt.imshow(rgb)
elif ctype=='gray':
plt.imshow(img,cmap='gray')
elif ctype=='rgb':
plt.imshow(img)
else:
raise Exception("Unknown colour type")
plt.axis('off')
plt.title(title)
plt.show()
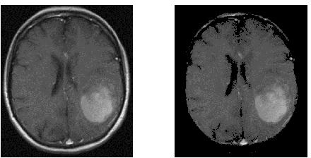
For reference, here's one of the brain+skulls you linked to:
#Read in image
img = cv2.imread('brain.png')
gray = cv2.cvtColor(img,cv2.COLOR_BGR2GRAY)
ShowImage('Brain with Skull',gray,'gray')
Extracting a Mask
If the pixels in the image can be classified into two different intensity classes, that is, if they have a bimodal histogram, then Otsu's method can be used to threshold them into a binary mask. Let's check that assumption.
#Make a histogram of the intensities in the grayscale image
plt.hist(gray.ravel(),256)
plt.show()
Okay, the data is nicely bimodal. Let's apply the threshold and see how we do.
#Threshold the image to binary using Otsu's method
ret, thresh = cv2.threshold(gray,0,255,cv2.THRESH_OTSU)
ShowImage('Applying Otsu',thresh,'gray')
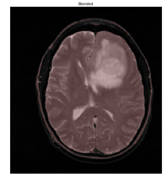
Things are easier to see if we overlay our mask onto the original image
colormask = np.zeros(img.shape, dtype=np.uint8)
colormask[thresh!=0] = np.array((0,0,255))
blended = cv2.addWeighted(img,0.7,colormask,0.1,0)
ShowImage('Blended', blended, 'bgr')
Extracting the Brain
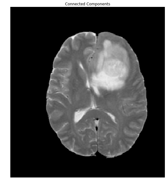
The overlap of the brain (shown in red) with the mask is so perfect, that we'll stop right here. To do so, let's extract the connected components and find the largest one, which will be the brain.
ret, markers = cv2.connectedComponents(thresh)
#Get the area taken by each component. Ignore label 0 since this is the background.
marker_area = [np.sum(markers==m) for m in range(np.max(markers)) if m!=0]
#Get label of largest component by area
largest_component = np.argmax(marker_area)+1 #Add 1 since we dropped zero above
#Get pixels which correspond to the brain
brain_mask = markers==largest_component
brain_out = img.copy()
#In a copy of the original image, clear those pixels that don't correspond to the brain
brain_out[brain_mask==False] = (0,0,0)
ShowImage('Connected Components',brain_out,'rgb')
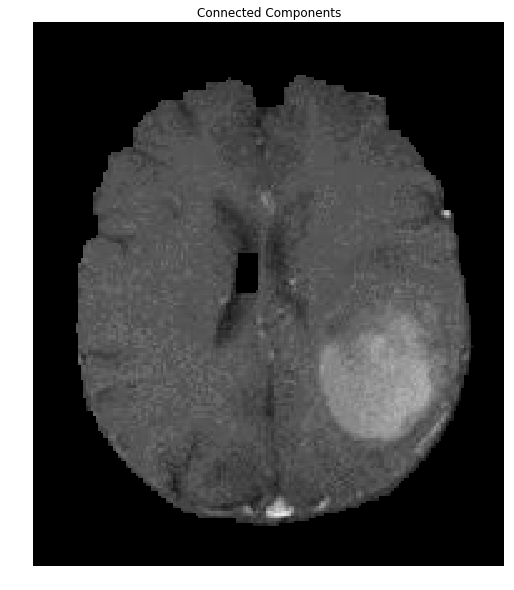
Considering the Second Brain
Running this again with your second image produces a mask with many holes:
We can close many of these holes using a closing transformation):
brain_mask = np.uint8(brain_mask)
kernel = np.ones((8,8),np.uint8)
closing = cv2.morphologyEx(brain_mask, cv2.MORPH_CLOSE, kernel)
ShowImage('Closing', closing, 'gray')
We can now extract the brain:
brain_out = img.copy()
#In a copy of the original image, clear those pixels that don't correspond to the brain
brain_out[closing==False] = (0,0,0)
ShowImage('Connected Components',brain_out,'rgb')
If you need to cite this for some reason:
Richard Barnes. (2018). Using Otsu's method for skull-brain segmentation (v1.0.1). Zenodo. https://doi.org/10.5281/zenodo.6042312







